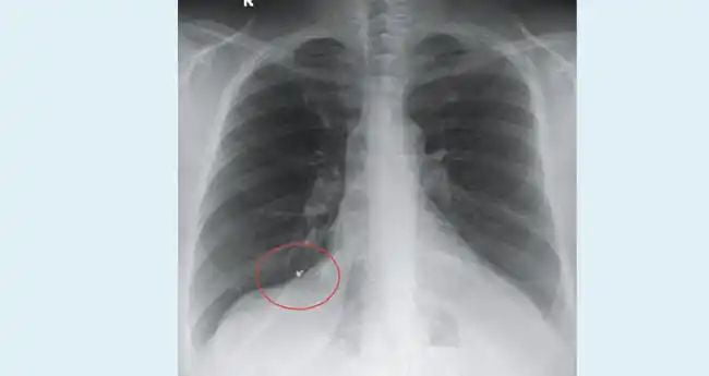
12 വർഷം മുമ്പ് കാണാതായ മൂക്കുത്തിയുടെ ഒരു ഭാഗം വീട്ടമ്മയുടെ ശ്വാസകോശത്തില് നിന്നു പുറത്തെടുത്തു. കൊല്ലം ശാസ്താംകോട്ട സ്വദേശിനിയായ നാല്പ്പത്തിനാലുകാരിയുടെ ശ്വാസകോശത്തില് നിന്നാണ് കൊച്ചി അമൃത ആശുപത്രിയിലെ ഇന്റർവൻഷണല് പള്മണോളജി വിഭാഗം മേധാവി ഡോ. ടിങ്കു ജോസഫിന്റെ നേതൃത്വത്തില് ശസ്ത്രക്രിയ കൂടാതെ ഒരു സെന്റിമീറ്റർ നീളമുള്ള ചങ്കിരി പുറത്തെടുത്തത്.
മൂക്കുത്തി കാണാതായ ദിവസം അതിന്റെ പ്രധാനഭാഗം വീട്ടില്നിന്ന് കിട്ടിയിരുന്നു. ചങ്കിരിക്കായി തെരച്ചില് നടത്തിയെങ്കിലും കണ്ടെത്താനായില്ല. ശ്വാസകോശത്തില് എന്തോ തറഞ്ഞിരിക്കുന്നതായി ശ്രദ്ധയില്പ്പെടുന്നത് കൊല്ലത്തെ സ്വകാര്യ ആശുപത്രിയില് കഴിഞ്ഞയാഴ്ച ശസ്ത്രക്രിയയ്ക്ക് വിധേയയായപ്പോള് നടത്തിയ സ്കാനിങ്ങിലാണ്. തുടർന്ന് കൊച്ചി അമൃത ആശുപത്രിയിലെത്തി നടത്തിയ പരിശോധനയില് ഇത് മൂക്കുത്തിയുടെ ഭാഗമാണെന്ന് കണ്ടെത്തുകയും പുറത്തെടുക്കുകയുമായിരുന്നു.

